All on 4 i All on 6 — dwie drogi do nowych zębów
Obie metody służą temu samemu celowi: trwałej odbudowie pełnego łuku zębowego na implantach, z możliwością zamocowania stałych zębów w dniu zabiegu. Różnica sprowadza się przede wszystkim do liczby wszczepów i wynikających z tego konsekwencji biomechanicznych. All on 4 wykorzystuje cztery implanty, a All on 6 — sześć punktów podparcia. To pozornie niewielka różnica, ale ma konkretne przełożenie na stabilność, rozkład sił żucia i możliwości protetyczne. Rekonstrukcje pełnołukowe All-on-4 i All-on-6 wykonuję w Legionowie, w gabinecie łatwo dostępnym dla pacjentów z Warszawy i okolic.
Doświadczenie chirurga to fundament wyboru metody.
Dr n. med. Paweł Sawicki — chirurg szczękowo-twarzowy z ponad 12-letnim doświadczeniem i ponad 2000 wykonanymi zabiegami implantologicznymi — dobiera liczbę i pozycję implantów indywidualnie, po analizie tomografii CBCT. W najtrudniejszych przypadkach stosuje zakotwienie pozaszczękowe (implanty jarzmowe i pterygoidalne), które poszerza możliwości leczenia daleko poza standardowe protokoły.
Biomechanika — dlaczego akurat 4 lub 6 implantów?
Klasyczna implantologia długo opierała się na zasadzie „jeden ząb = jeden implant". Rekonstrukcja pełnołukowa tego łuku zębowego wymagałaby więc wszczepienia 10–14 implantów. Protokoły All-on-X przewracają tę logikę do góry nogami: pokazują, że precyzyjnie zaplanowane 4 lub 6 implantów, połączonych sztywną belką protetyczną, tworzy konstrukcję przejmującą siły żucia całego łuku. Dzieje się tak, ponieważ most przykręcony do kilku implantów rozkłada obciążenia pomiędzy wszystkimi wszczepami jednocześnie — każdy z nich pracuje wspólnie z pozostałymi, a nie indywidualnie.
Kąt nachylenia tylnych implantów (do 45°) wydłuża ich efektywną długość zakotwienia w naturalnie dostępnej kości, bez potrzeby inwazyjnej odbudowy kostnej. To fundament, na którym opiera się „zęby w jeden dzień" — stabilność pierwotna wystarczająca, aby obciążyć implanty mostem tymczasowym natychmiast po zabiegu.
Jak rozmieszczone są implanty w każdej z metod?
W protokole All on 4 dwa przednie implanty wszczepiane są pionowo, natomiast dwa tylne — pod kątem do 45°. Kątowe ustawienie implantów tylnych pozwala na zakotwienie w naturalnie dostępnej kości, omijając struktury anatomiczne takie jak zatoka szczękowa czy kanał nerwu zębodołowego. Dzięki temu w wielu przypadkach zabieg można przeprowadzić bez konieczności augmentacji (odbudowy) kości.
W wariancie All on 6 dochodzą dwa dodatkowe implanty — najczęściej w pozycji ostatnich trzonowców, co zapewnia lepsze rozmieszczenie sił żucia na całej długości łuku. Większa liczba punktów podparcia przekłada się na wyższą stabilność całej konstrukcji protetycznej. Jest to szczególnie istotne w szczęce, gdzie kość ma mniejszą gęstość niż w żuchwie.
Porównanie: All on 4 vs All on 6
All on 4
4 implanty na łuk. Sprawdza się szczególnie w żuchwie, gdzie kość jest gęsta i stabilna. Niższy koszt początkowy ze względu na mniejszą liczbę wszczepów.
All on 6
6 implantów na łuk. Lepsze rozłożenie sił żucia, dodatkowe podparcie protetyczne. Często wykorzystywany w szczęce, gdzie kość ma niższą gęstość niż w żuchwie. Umożliwia zastosowanie dłuższego mostu protetycznego obejmującego pełny łuk zębowy.
Od czego zależy wybór metody?
Decyzja między All on 4 a All on 6 nie jest uniwersalna — zależy od indywidualnej anatomii pacjenta. Kluczowe czynniki to: ilość i jakość dostępnej kości, lokalizacja (szczęka czy żuchwa), siła zgryzu, a także oczekiwania protetyczne. W praktyce dr. Sawickiego plan leczenia jest ustalany na podstawie tomografii CBCT i cyfrowej symulacji rozmieszczenia implantów — jeszcze przed zabiegiem.
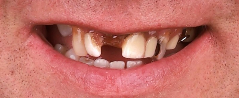
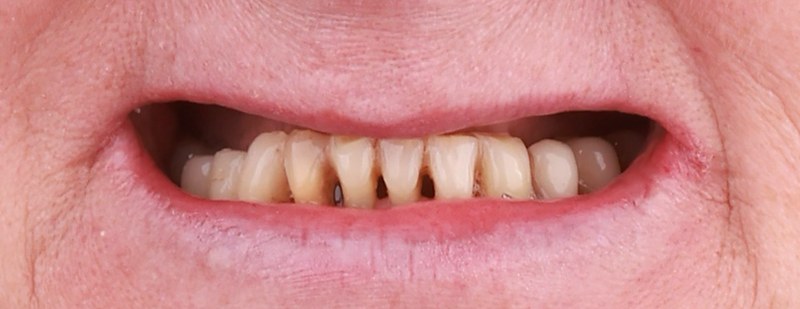
Efekty leczenia
Przedstawione efekty leczenia dotyczą indywidualnych przypadków. Rezultaty mogą się różnić w zależności od sytuacji klinicznej pacjenta.
Rodzaje mostów docelowych
Po okresie osteointegracji implantów wykonujemy docelową odbudowę — most na stałe przykręcony do implantów. W zależności od oczekiwań pacjenta, warunków anatomicznych i budżetu wybieramy jeden z trzech wariantów.
Most kompozytowy na belce tytanowej
Korzystne finansowo rozwiązanie o dobrej estetyce i funkcjonalności. Kompozyt osadzony jest na frezowanej belce tytanowej, która przejmuje siły żucia i stanowi trwały szkielet pracy.
od 19 000 zł
Most cyrkonowy
Rozwiązanie premium o najwyższej estetyce i trwałości. Pozwala odwzorować naturalną przezierność i głębię koloru zębów, dzięki czemu efekt jest praktycznie nieodróżnialny od własnego uzębienia. Materiał nie zmienia barwy pod wpływem kawy, herbaty czy czerwonego wina.
od 25 000 zł
Most z dziąsłem a most bez dziąsła
Przy zaawansowanym zaniku kości most zawiera fragment sztucznego dziąsła, który kompensuje ubytek tkanek i odbudowuje podparcie policzków i wargi. Przy dobrych warunkach kostnych możliwe jest wykonanie mostu bez sztucznego dziąsła — obejmującego wyłącznie korony zębów.
O wyborze decyduje lekarz protetyk wspólnie z pacjentem na etapie planowania uśmiechu.
Pełny cennik All-on-4 i All-on-6
Jak przebiega zabieg?
- Konsultacja i diagnostyka Badanie kliniczne, tomografia CBCT, analiza warunków kostnych. Omówienie planu leczenia, oczekiwań i możliwych wariantów. Cyfrowe planowanie pozycji implantów. Konsultacje i zabiegi All-on-4 prowadzi dr Sawicki w gabinecie Prodental w Legionowie oraz w Club Dent w Warszawie (Białołęka).
- Dzień zabiegu — chirurgia Usunięcie zębów i wprowadzenie implantów w skutecznym znieczuleniu miejscowym. Zabieg trwa od 1,5 do 2,5 godziny na jeden łuk. Precyzyjne pozycjonowanie implantów zgodnie z wcześniejszym planem cyfrowym.
- Dzień zabiegu — protetyka Jeszcze tego samego dnia lekarz protetyk wraz z laboratorium protetycznym przygotowuje most tymczasowy, który zostaje przykręcony do implantów. Pacjent wychodzi z gabinetu z pełnym uzębieniem.
- Okres osteointegracji Przez następne 3–6 miesięcy implanty zrastają się z kością (osteointegracja). W tym czasie pacjent normalnie funkcjonuje z mostem tymczasowym, stosując dietę miękką.
- Praca docelowa Po potwierdzeniu pełnej osteointegracji most tymczasowy zostaje zastąpiony pracą docelową — precyzyjnie dopasowaną pod względem estetyki, okluzji i komfortu.
Uśmiech w jeden dzień — jak wygląda dzień zabiegu
Zalecenia przed i po zabiegu All-on-4
Współpraca chirurga i protetyków
Rekonstrukcja pełnołukowa to leczenie dwuspecjalistyczne. Dr Sawicki odpowiada za część chirurgiczną — planowanie pozycji implantów na podstawie CBCT i ich wprowadzenie. Doświadczeni lekarze protetycy odpowiadają za zaprojektowanie i wykonanie odbudowy protetycznej — od mostu tymczasowego po pracę docelową. Oba zespoły planują leczenie wspólnie jeszcze przed zabiegiem, uwzględniając zarówno warunki kostne, jak i oczekiwania estetyczne pacjenta. Gabinety, w których operuje dr Sawicki, dysponują własnymi pracowniami protetycznymi, dzięki czemu cały proces odbywa się pod jednym dachem.
Dla kogo jest metoda All on 4 lub All on 6?
Rekonstrukcja pełnołukowa jest przeznaczona dla pacjentów z całkowitym lub prawie całkowitym bezzębiem, a także dla osób z rozległymi zniszczeniami uzębienia, u których indywidualne implanty nie stanowią optymalnego rozwiązania. Dotyczy to m.in.:
- pacjentów użytkujących protezy ruchome, którzy szukają stałego rozwiązania
- osób z zaawansowaną chorobą przyzębia i ruchomymi zębami
- pacjentów z zanikami kostnymi, u których klasyczna implantacja wymagałaby rozległej odbudowy kości przed implantacją
- osób, które chcą uniknąć wielomiesięcznego leczenia etapowego
Zakotwienie pozaszczękowe — najtrudniejsze przypadki
W sytuacjach ekstremalnych zaników kostnych, gdy standardowe implanty nie mają wystarczającego podparcia, dr Sawicki stosuje zaawansowane techniki zakotwienia pozaszczękowego. Implanty jarzmowe (zygomatyczne) kotwiczone są w kości jarzmowej, a implanty pterygoidalne — w wyrostku skrzydłowym kości klinowej. Pozwala to na przeprowadzenie rekonstrukcji pełnołukowej nawet u pacjentów, którym inne ośrodki odmówiły leczenia implantologicznego.
Implanty jarzmowe i pterygoidalne
Najczęściej zadawane pytania
Czy wyjdę z gabinetu z zębami tego samego dnia?
Tak. Dzięki obciążeniu natychmiastowemu jeszcze w dniu zabiegu zakładamy most tymczasowy przykręcony do implantów. Pacjent opuszcza gabinet z pełnym, stałym uzębieniem i od razu może jeść, mówić i uśmiechać się. Most tymczasowy pełni dodatkowo funkcję opatrunku dla gojących się tkanek — modeluje dziąsło i skraca okres adaptacji do nowych zębów.
Czy zabieg All on X jest bolesny?
Zabieg wykonywany jest w znieczuleniu miejscowym i jest całkowicie bezbolesny. Po zabiegu normalny jest niewielki dyskomfort i obrzęk, które kontrolujemy lekami przeciwbólowymi. Pacjenci wracają do codziennych aktywności w ciągu kilku dni.
Czy moja twarz się zmieni po zabiegu All-on-X?
Tak — ale na korzyść. Wieloletnie użytkowanie protezy ruchomej i postępujący zanik kości powodują zapadanie się rysów twarzy, cofanie wargi górnej i pogłębianie bruzd wokół ust. Stały most na implantach przywraca prawidłowe podparcie tkanek miękkich, odtwarza proporcje twarzy i działa odmładzająco. Kształt, proporcje i kolor zębów wspólnie projektujemy z pacjentem jeszcze przed zabiegiem, aby efekt pasował do rysów twarzy i oczekiwań.
Ile trwa gojenie?
Pierwsze dni po zabiegu to naturalny proces regeneracji. Most tymczasowy pozwala normalnie funkcjonować od pierwszego dnia. Pełna integracja implantów z kością trwa 3–6 miesięcy. Po tym czasie wykonujemy most docelowy.
Czy każdy może mieć All on X?
Decyzję podejmujemy po dokładnej analizie tomografii CBCT i ocenie stanu zdrowia ogólnego. Metoda All on X jest odpowiednia dla większości pacjentów, nawet przy znacznym zaniku kości, dzięki możliwości wszczepienia implantów pod specjalnym kątem.
Ile kosztuje leczenie All on X?
Leczenie składa się z dwóch etapów. I etap — zabieg implantologiczny z mostem tymczasowym — zaczyna się od 28 000 zł za jeden łuk. II etap — most docelowy — to dodatkowo od 19 000 zł (most kompozytowy na belce tytanowej) lub od 25 000 zł (most cyrkonowy). Oferujemy finansowanie w systemie MediRaty. Szczegółowe informacje o kwalifikacji, dojazdach i organizacji leczenia znajdziesz na stronie All-on-4 Legionowo.
Jak długo służy most na implantach?
Prawidłowo wykonany i pielęgnowany most na implantach może służyć wiele lat, a nawet całe życie. Kluczowa jest regularna higiena domowa (szczotkowanie, irygator) oraz wizyty kontrolne w gabinecie.
Jak wygląda pielęgnacja?
Codzienna pielęgnacja polega na regularnym szczotkowaniu szczoteczką z miękkim włosiem, stosowaniu irygatora wodnego i nici dentystycznych. Zalecamy regularne wizyty kontrolne i profesjonalną higienizację.
Palę papierosy, czy mogę mieć wykonaną odbudowę pełnołukową na implantach?
Palenie nie jest bezwzględnym przeciwwskazaniem, ale zwiększa ryzyko powikłań — zaburzeń gojenia, zapaleń tkanek wokół implantów (periimplantitis) i utraty kości. Zalecamy znaczne ograniczenie lub odstawienie papierosów na co najmniej tydzień przed i 4–6 tygodni po zabiegu. Rzucenie palenia warto rozważyć nie tylko dla długoterminowej trwałości pracy, ale przede wszystkim dla własnego zdrowia.
Czy All on X to rozwiązanie trwałe?
Tak — to jedno z najtrwalszych i najbardziej komfortowych rozwiązań protetycznych, które skutecznie zastępuje naturalne uzębienie pod względem funkcji i estetyki.






